Fig. 1
From: The cerebellar phenotype of Charcot-Marie-Tooth neuropathy type 4C

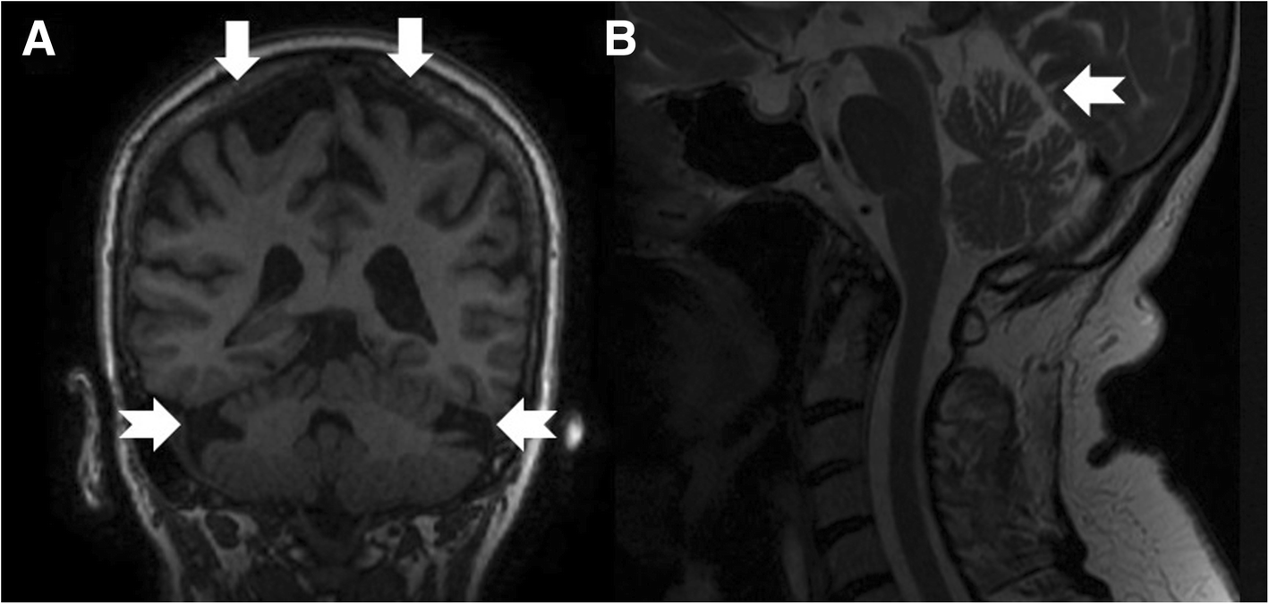
Coronal T1-weighted (a), mid-sagittal T2-weighted (b) of patient 5 at age 76. Note atrophy in the bi-parietal brain regions (thick arrows) as well as lateral hemispheres and superior vermis of the cerebellum (notched arrows)